这是艾玛和杭州遇见的第11年
细中见真 微中知著
#艾玛十一周年#
我们想用这一系列故事
见证一路而来温暖的感动,不易的成长

今天的故事,发生在2017年
这是一位特殊的宝妈
希望通过局部麻醉生下宝宝
但对于脊柱严重侧弯的她来说
却几乎是“不可能的任务”
而这次,我们挑战了不可能
2017年10月20日上午,高女士如愿在艾玛轻松、安全地迎来了自己的二宝。“生大宝时,由于无法局部麻醉而进行的全麻,那种担心恐惧,不想再经历第二次了。”
经历过的宝妈应该都知道,剖宫产通常都是局麻,也就是脊椎麻醉,过程清醒,虽有些害怕,但医生会和你聊天转移注意力,整个过程倒也不算难熬。
但高女士的情况,和大多数妈妈不一样:
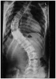
她的脊柱严重侧弯,特别是胸椎与腰椎部位,进行脊椎麻醉难度大。加之孕期无法拍片或核磁共振,无法准确判断脊椎的走向,因此在剖宫产时,麻醉医师都会建议进行全麻。


高女士脊椎弯曲度(参考图)
而又因为她头胎剖宫产,加上妇科手术史,子宫下段有两道陈旧性瘢痕,顺产的方案也不可行。
“我对无法顺产早有准备,只是不想再经历一次全麻。就像掉进了一个深渊,一直往下坠,我感觉有人拼命在喊我,跟我说我生了个儿子,让我醒来看看,或者动动手指,眨眨眼皮,可我怎么都动不了。”
7年前的那次剖宫产,高女士没有任何选择就进行了静吸复合麻醉(也就是全麻),半夜的手术,次日下午4点才醒来。这样的经历让她充满了恐惧。
这一次她来到艾玛,就是希望能进行脊柱麻醉。
由于脊柱侧弯严重,进行腰椎穿刺的难度特别大,这对麻醉团队来说,也是一次不小的挑战。
经过仔细评估,我们决定为其进行“细针腰椎穿刺”。
在剖宫产手术中,普遍应用的是“腰硬联合麻醉”,使用粗针套细针,先通过引导的粗针穿到硬脊膜外,再将细针穿入引导针内,穿过硬脊膜,进入脊髓,注射麻醉剂。

(2号“粗针”,差不多有羊肉串的钢签那么粗;3号“细针”,粗细接近针灸针)
而更先进的“细针腰麻”,则不用粗针引导,直接上腰硬联合包里面的细针。
此方法创伤小,平面可控,术后头疼发生率几乎无。而且因为细针损伤极微、也不会损伤腰椎间盘,避免了因穿刺引起的腰痛。在艾玛,几乎所有剖宫产手术都实行细针麻醉。
由于脊柱侧弯,又无CT片可参考,因此这次麻醉非常考验麻醉医师的技术:在进行穿刺前,医生凭借自己的经验,用手摸了很久找准位置,最终穿刺成功,手术顺利进行。
“我能感觉到这次麻醉难度很大,医生在背后用手摸了很久才找到准确位置。”术后,高女士感激地说,“这次分娩,无论麻醉、手术,所有的都让我特别满意。分娩过程我都是清醒的,漆主任手术时,每一步都会告诉我,让我参与其中,清醒、快乐地迎接宝宝到来。”

第三天,高女士委托家属送上锦旗以示感谢
(文中图片已获授权)